El uso de cubrebocas es obligatorio durante tu estancia en el hospital

¡Seguimos cuidando tu salud! Recuerda: el uso de cubrebocas es obligatorio durante tu estancia en el hospital; con esto evitamos la propagación de enfermedades respiratorias.

Servicios de Salud
Ir a 4° Congreso de Geriatría-Maxi

Atención Médica:

Nueva Unidad de Hemodinamia

¿Sabías que el cateterismo salva vidas?

Tecnología exclusiva para atender de forma eficaz y más segura a cada paciente.

El cateterismo es un procedimiento que proporciona información sobre el estado vascular de diferentes partes del cuerpo, principalmente el corazón y cerebro. De esa manera, se puede brindar una certeza diagnóstica y aplicar tratamientos específicos para cada enfermedad cardiovascular.

Un cateterismo debe realizarse en un espacio seguro y con personal altamente especializado para brindar la máxima eficacia en cada procedimiento. Por ello, en Médica Sur contamos con una nueva Sala de Hemodinamia que cuenta con lo necesario para realizar diagnósticos, tratamientos oportunos y procedimientos programados o de urgencia.

Nuestra sala de Hemodinamia es una de las mejores equipadas de México:

  • Tecnología de punta
    Equipada con ultrasonidos intravasculares, software de alta especialidad, fluoroscopia (rayos X) para visualización en tiempo real, ecocardiógrafo integrado, pantalla para revisar imágenes de referencia al instante, entre otras innovaciones.

  • Comunicación con otras áreas hospitalarias
    Estamos listos para atender cualquier eventualidad o urgencia médica que se pueda presentar, haciendo traslados inmediatos y con atención de médicos especialistas.

  • Equipo multidisciplinario
    Contamos con médicos especialistas, anestesiólogos y personal de enfermería capacitados y certificados en el uso del equipo de hemodinamia.

  • Sala multipropósito
    Además del cateterismo seguro, nuestra sala tiene todo lo necesario para abordar procedimientos:

    • Cardiovasculares
    • Cerebrales (neuro intervención)
    • Vascular periférico
    • Ortopedia y neurocirugía

Llena el siguiente formulario y nosotros te contactaremos


Ahora podrás observar tu cirugía y maniobras en tiempo real conociendo cada detalle y parte del cuerpo.

En la nueva Unidad de Hemodinamia encontrarás software de última generación y tecnología exclusiva e intuitiva para abordar diversos campos o especialidades, además de un monitor único para facilitar tu atención al procedimiento y al paciente.

  • Sistema de ultrasonido Volcano: un ultrasonido intravascular que ayuda a conocer el diámetro de los vasos, a colocar el stent y tener una angioplastía exitosa; todo está integrado al mismo equipo, utilizando el sistema SYNCVISION, en donde todas las imágenes se ven a través de la pantalla principal.

  • Equipos dedicados a la ayuda en procedimientos por subespecialidades cardiológicas, neurológicas, enfermedad vascular periférica y ortopedia.

  • Con software de alta especialidad únicos en el país que permiten la interoperabilidad con otras modalidades de imagen, que solo se pueden usar en la sala de hemodinamia de Médica Sur.

  • Fluoroscopia dual y roadmap que permiten visualizar simultáneamente la fluoroscopia previa con la fluoroscopia en tiempo real.

  • Ecocardiógrafo en sala EPIC CVXI solo en Médica Sur.

  • Pantalla de 58 pulgadas con 8 megapixeles grado médico en la que se pueden visualizar las imágenes en tiempo real, imágenes de referencia, ultrasonido intracoronario y polígrafo.

  • Equipo disponible para OCT coronario.

Capacitamos a nuestros a médicos, técnicos y personal de enfermería con apoyo de nuestro personal experto y un especialista de aplicaciones de Philips.

Nueva sala de hemodinamia, Tecnología exclusiva

Información para especialidad de cardiología »

Nueva sala de hemodinamia, Información para especialidad de cardiología
  • Angioplastia: Roadmap dinámico coronario, un software para navegación automática en tiempo real ideal en procedimientos coronarios complejos.

  • Cardiología estructural: software de fusión con tomografía y resonancia para colocación de TAVI o cierre de orejuela.

  • Estudios congénitos: fusión de imagen con la sonda transesofágica (Echo Navigator).

  • Electrofisiología: cuenta con un polígrafo de electrofisiología con 128 canales.

Información para intervención vascular »

Nueva sala de hemodinamia, Información para intervención vascular
  • Sistema Emboguide: identifica las ramas tumorales para la embolización de tumores, con ahorro de medio de contraste u dosis de radiación.

  • Smart perfusion: muestra los flujos antes y después del tratamiento, por ejemplo revascularización del pie diabético.

  • Fusión de imagen 2D y 3D, funciona para realizar intervenciones en la aorta abdominal.

  • Adquisición de bajo contraste para hígado, abdomen y de arteria prostática.

  • Software con seguimiento de bolo de medio de contraste de forma nativa y sustraída (tipos de imagen para sustracción digital).

Información para neurointervención »

  • Adquisición de bajo contraste.

  • Adquisición tridimensional.

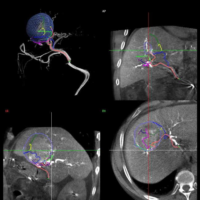
  • Software para evaluación del patrón de flujo dentro del aneurisma.

  • Actualización constante y anticipada del software para neuro intervención.

  • Análisis de flujos para procedimientos de EVC.

Nueva sala de hemodinamia, Tecnología exclusiva

Información para especialidad de ortopedia y neurocirugía»

  • Algología para ortopedia y neurocirugía: software de guía de punción para la visualización de la trayectoria de la aguja.

Esta renovación beneficia a todos nuestros pacientes y les da la confianza de que sus procedimientos intervencionistas son realizados con tecnología exclusiva para:

  • Diagnósticos más precisos y seguros

  • Planeación y proyección de tratamientos.

  • Intervenciones eficaces y oportunas.

  • Todo en un ambiente cálido en instalaciones de vanguardia.

Dentro de nuestra sala de hemodinamia podrás encontrar expertos capacitados en:

Cardiología

  • Diagnóstico y tratamiento vascular

  • Angiografía

  • Arritmias cardiacas

  • Enfermedad coronaria o de válvulas

  • Cardiomiopatías

  • Cateterismo

  • Coronariografías

  • Estudios de cardiopatias congénitas

  • Tratamiento de arritmias

  • Implante de marcapasos, desfibriladores y resincronizadores.

  • Tomografías y resonancias para colocación de TAVI o cierre de orejuela.

  • Colocación de stents coronario (angioplastia).

  • Electrofisiología.

Nueva sala de hemodinamia, Tecnología exclusiva

Neurointervención

  • Diagnóstico y tratamiento vascular

  • Infarto cerebral (stroke)

  • Rescate vascular cerebral

  • Hemorragias causadas por:

    1. Aneurisma: protuberancia de un vaso sanguíneo en el cerebro que puede romperse y ocasionar una hemorragia. Esto puede tratarse con una cirugía o tratamiento endovascular.
    2. Malformación arteriovenosa: formación de vasos sanguíneos en las arterias y venas del cerebro que altera la transportación de oxígeno a la sangre. Esto puede tratarse con medicamentos o cirugía.
    3. Fístula dural: son conexiones anormales entre arterias y venas en el cerebro que puede tratarse con procedimientos endovasculares o radiocirugías para desconectar o extirparlas.
  • Embolización de tumores hipervasculares

    1. Los tumores generar riesgo con importante pérdida de sangre durante la cirugía.
    2. Puede complicar el procedimiento quirúrgico y su evolución.
    3. La embolización antes de una cirugía tiene ventajas que son beneficiosas para el paciente, como disminuir el sangrado, el tiempo de cirugía, las transfusiones sanguíneas durante el procedimiento y el tiempo de recuperación.

Nueva sala de hemodinamia, Tecnología exclusiva

Ortopedia y neurocirugía

  • Procedimientos para tratar el dolor lumbar

Intervención vascular

  • Tratamiento de tumores abdominales e hígado

  • Tratamiento de arteria prostática

  • Revascularización del pie diabético

  • Colocación de endoprótesis aórticas

  • Angioplastia y colocación de stents periféricos

¡Llámanos!

55 5424 7200 ext. 3307 y 3308

hemodi@medicasur.org.mx

Horario de atención telefónica de 7 a 21 hrs.

Si necesitas alguno de estos procedimientos, da clic:

¡Llámanos!

55 5424 7200 ext. 3307,
3308

Horario de atención telefónica de 7 a 21 hrs.

Llámanos